BZ系列有助于了解哮喘的病理模式
- 中山敏典博士
-
千叶大学医学院免疫学系教授
医疗全球COE项目中心负责人中山敏典博士1959年生于冈山县。1988年,他在东京大学医学院完成了博士学位。从美国国立卫生研究院国立癌症研究所博士后开始,他曾在东京大学医学院担任副研究员;东京理科大学生物科学研究所副教授;千叶大学医学研究生院副教授;2001年,任千叶大学医学院医学免疫学系教授。他于2004年就任现职。Nakayama博士自2008年起兼任医疗全球COE项目负责人。他获得了许多奖项,包括2000年的第三届日本免疫学奖和2004年的第14届雅培日本过敏研究奖。
- 免疫系统调节将从根本上改变医疗服务的提供方式
- 01.千叶大学在免疫紊乱研究领域处于领先地位
- 02.中山博士对理解免疫记忆的前沿研究的挑战
- 03.通过全球COE计划发展一个国际研究中心
- 04.BZ系列有助于了解哮喘的病理模式
- 05.对年轻研究人员参与免疫系统调节领域的期望越来越高
- <常识>免疫细胞(免疫细胞)
免疫系统调节将从根本上改变医疗服务的提供方式
今天,随着我们对人类免疫的工作原理有了更多的了解,利用新的研究成果对疾病进行治疗正取得迅速进展。从免疫系统的角度考虑新的治疗方法,不仅针对过敏,而且针对难治性疾病,如癌症和心血管疾病。在世界各国的研究机构在该领域的研究开发(R&D)上展开激烈竞争的情况下,千叶大学从最新的基础研究到转化为临床研究的整个过程都进行了无缝衔接的工作。自2008财年以来,该大学一直在推动全球COE计划,将其作为免疫系统调节对疾病控制的国际研究中心。在该中心的负责人、免疫学教授中山敏则博士的领导下,千叶大学正专注于培养有能力的研究人员和克服一系列难治性疾病的研究。建立先进医疗保健的努力正在迅速进行。
01.千叶大学在免疫紊乱研究领域处于领先地位
大约两个世纪前,英国的爱德华·詹纳发明了预防天花的天花疫苗,现代免疫学由此开始。通过过去其他伟人的成就——包括路易斯·巴斯德、罗伯特·科赫和柴武隆——免疫学取得了重大进展,人类已经一个接一个地战胜了传染病,使它们成为过去的威胁。
人体有生物防御机制,这是一种极佳的机制,可以防止病原体进入人体。有两种类型的生物防御:先天生物防御(自然免疫)是人与生俱来的,包括白细胞吸收和分解病原体;适应性生物防御(获得性免疫)的功能是学会对抗先天免疫无法反应的病原体。
对于后者,免疫功能识别入侵身体的细菌和病毒,并记住这些信息,以准备抵抗同一病原体的下一次入侵。在参与免疫的细胞中,有巨噬细胞(吞噬抗原并呈现抗原上的信息)、B细胞(产生抗体)和T细胞(将巨噬细胞接收的抗原信息呈现给B细胞)。
如今,对免疫系统的基础研究有了长足的进展,人们对免疫细胞的功能也有了更清晰的认识。随着我们对这些细胞的了解越来越多,基于免疫系统的疾病治疗方法开始成为人们关注的焦点。例如,关于类风湿关节炎,免疫系统研究的发现带来了创新疗法,这些疗法现在被广泛使用。即使是那些传统上被认为是不治之症的疾病,治疗途径也开始开放。
世界各地的研究机构都在研究免疫系统的新发现,并将其应用于治疗疾病,千叶大学就是从事前沿研究的机构之一。在这里,医学研究生院和药学研究生院正在进行免疫系统机制的基础研究,旨在在这一基础研究的基础上,建立难治性免疫疾病的治疗理念。此外,2008年在大学医院开设的先进医学中心促进临床研究,旨在为基础研究的发现发展出的治疗概念提供证据。
据千叶大学医学院免疫学教授中山敏典(Toshinori Nakayama)博士说,该大学的目标是治疗传统医疗无法永久治愈的难治性免疫疾病。疾病的范围很广,包括过敏、癌症、血管炎和动脉硬化。中山博士对千叶大学加强研究机构的看法如下:
“作为千叶大学的一部分,医学研究生院已经庆祝了60周年,包括其前身千叶医科大学在内,已有130多年的历史。医学院研究生院从很早开始就致力于免疫和过敏的研究,每个领域的专家都在相互合作下进行最新的研究,从基础研究到临床研究。在临床领域,在儿科、内科、皮肤科、耳科等领域,有专攻免疫障碍的教授。这些教授都致力于开发新的治疗方法,使学院成为追求免疫疾病高级治疗的主要中心。”
02.中山博士对理解免疫记忆的前沿研究的挑战
作为免疫系统形成基础研究领域的领军人物,中山博士对获得性免疫的基本原理和机制的揭示做出了贡献。T细胞是一种免疫细胞,可以分化成辅助性T细胞。中山博士对这些细胞的功能进行了解释。
作为他新的研究主题,中山正致力于从基因层面理解辅助T细胞(如Th1和Th2细胞)如何分化为记忆细胞的机制。中山博士说:“虽然我们已经扩大了对获得性免疫的了解,但还有更多未知的事实。免疫记忆是如何形成的——获得性免疫的本质——几乎不为人知,作为一名研究人员,我想在分子和遗传水平上弄清这一机制的底层。这些研究结果很可能最终会导致过敏的永久性治愈,并开发出只需注射一针就可以终身有效的流感疫苗。”
在多年基础研究的基础上,中山博士还致力于免疫细胞治疗的应用研究。其中一项研究是利用NKT细胞(继T细胞、B细胞、自然杀伤细胞(NK)之后的第4淋巴细胞)进行创新治疗。这种疗法有望有效治疗癌症。特别是,从2001年前后开始的肺癌临床试验,取得了肿瘤缩小等显著的治疗效果。目前也在考虑将这种方法应用于头颈部癌症的治疗。在这些领域的应用是迈向更广泛应用的第一步。
“对于肺癌,传统的标准手术、放射学和化疗都有局限性。这是因为肺是一种具有海绵状结构的器官,有大量的血流,所以当癌症在CT或其他诊断成像上显示为阴影时,它通常是肺内许多微小的转移(小于几毫米)。这些肿瘤最终会生长并导致肺癌复发。如果没有肺,人就不能呼吸,就会死亡,所以不能像胃癌晚期的全胃切除术一样预防性地切除整个肺。用药物控制癌细胞是有限度的。
从这个意义上说,利用患者自身免疫系统进行治疗是有希望的。甚至与其他治疗方法(如术后化疗)相比,已有证据表明患者的预期寿命显著延长。目前,我们正在进行临床试验,以验证NKT细胞的方案和剂量,同时稳步推进治疗研究。应用为先进医疗保健的准备工作也在进行中,目前约有100名患者在接受治疗。”
人们希望利用免疫细胞治疗癌症的有效性。此外,这种治疗方法具有安全、微创的优点。“与现有的抗癌药物不同,这种方法的特点是对患者的创伤更小。副作用通常只是轻微的发烧,如果有的话,”中山博士说。
至于他对这项研究未来的预期,他说:“基于免疫系统的治疗将使癌症的永久治愈成为可能,就像定制医疗护理一样,并将极大地改变医疗保健的提供方式,从癌症治疗转向预防。”
作为继治疗过敏和癌症之后的另一种新方法,中山博士还在考虑从免疫系统的角度治疗心血管疾病,包括动脉硬化。根据中山博士的说法,“通过将动脉硬化定义为血管内炎症,利用免疫系统进行治疗将成为可能。”他说,他“希望在与专攻动脉硬化和血管炎症的研究人员进行联合研究的同时,投入更多精力培养这一领域的研究人员,并展望未来10年和20年的发展前景。”
03.通过全球COE计划发展一个国际研究中心
千叶大学(Chiba University)正在推广全球COE计划(Global COE Program),中山博士自2008财年以来一直担任该中心的负责人。该项目旨在成为免疫系统调节对疾病控制的国际研究中心。该中心由医学研究生院、药学研究生院、大学医院和以下外部研究所组成:日本理化研究所过敏和免疫学研究中心和国家放射科学研究所。研究中心开展免疫系统研究,旨在通过调节免疫系统实现难治性免疫相关疾病的治疗研究和开发。作为教育机构,千叶大学的全球COE计划也致力于培养从事免疫学研究的年轻研究人员。
考虑到每个组织的作用,千叶大学的两个研究生院从事基于获得性免疫的治疗学研究,理研所从事基于自然免疫的治疗学研究。传统上,关于免疫的研究主要集中在获得性免疫,但近年来,自然免疫的重要性得到了重申。通过密切合作,千叶大学和日本理研所进行的研究在两种免疫反应的基础上获得了先进的治疗方法。
在临床研究方面,除了大学医院在高级医学中心领导下对免疫紊乱进行临床试验外,国家放射科学研究所也在致力于开发联合疗法,使用免疫反应和带电粒子疗法来对抗癌症。该中心使用这种联合疗法在世界范围内尚属首次,预计它将作为一种侵袭性较低的癌症治疗方法发挥作用。
“日本、美国、欧洲的免疫系统研究水平相当。在追求成为该领域的全球领跑者时,这是一个理想的环境。在我们推广全球COE计划的同时,我们可以作为免疫系统调节对疾病控制的国际教育和研究中心向世界提供新的治疗概念,”Nakayama博士说。
(来源:千叶大学全球COE计划网站
https://www.m.chiba-u.jp/class/gcoe/eng/outline/)
(来源:千叶大学全球COE计划网站
https://www.m.chiba-u.jp/class/gcoe/eng/research/)
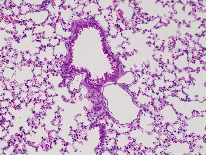
04.BZ系列有助于了解哮喘的病理模式
Nakayama博士的实验室适合全球COE计划的研究中心,配备了最新的细胞分离系统和其他必要的设备,以研究免疫疾病的病理模型。在这些设备中,KEYENCE BZ系列荧光显微镜被用于细胞观察的全部潜力。
“我有一个强烈的印象,荧光显微镜通常只对有特殊技能的人有用,但BZ系列的巨大优势是任何人都可以使用它,即使他们没有太多的经验。它的优秀之处在于它很容易使用,甚至对于那些因为时间限制而没有机会了解显微镜的人来说也是如此,一个很好的例子就是从事临床研究的医生。”
助理教授Chiaki Iwamura是实验室工作人员中最频繁的用户之一。目前,他正在致力于过敏研究,特别是哮喘的小鼠病理模型。这里重要的是对肺和支气管的详细观察。Iwamura博士说,他使用BZ系列进行放大观察和摄影。
“通常情况下,荧光显微镜的观察是在暗室中进行的,但长时间的这种观察对眼睛来说很困难。相比之下,KEYENCE的BZ系列不需要暗房,所以我们可以长时间专注于观察。”
观察小鼠哮喘病理模型,需要观察整个肺,并放大关键部位进行观察。BZ系列的导航系统功能在这些用途上很方便。当用户点击该部分时,它可以显示用低倍率镜头捕获的整个图像的任何部分的放大图像。Iwamura博士详细介绍了使用BZ系列的优势,“使用其他型号的显微镜,观察时间太长,有很多浪费的方面,但使用BZ系列,你可以很容易地看到你想看到的部分。”
他为论文准备的大部分照片都是用BZ系列拍摄的。“照片的画质会影响论文的说服力。仅仅因为这个原因,我很高兴自己的照片清晰。”
Iwamura博士提到,“虽然关于过敏机制还有很多未知之处,但我们正在分子水平上了解更多。”他未来的目标是寻求对特应性皮炎和其他过敏问题的永久性治疗做出贡献的基础研究。Iwamura博士作为全球COE计划的成员,在积极指导几名研究生和深化与国外研究人员交流的同时,从事免疫系统的前沿研究。
- BZ系列现在有更多的改进!
- 阅读更多关于KEYENCE最新的一体机荧光显微镜BZ-X800的信息。
05.对年轻研究人员参与免疫系统调节领域的期望越来越高
从调节免疫系统的角度出发,中山博士对难治性疾病的治疗方法即将引领世界。话虽如此,正如他自己所说,“关于免疫系统机制还有很多未知之处”,我们正在等待未来的研究结果。有鉴于此,Nakayama博士表现出他对全球COE项目的热情,“希望培养尽可能多的年轻有能力的研究人员”。
“如果你的目标是成为某个领域的全球顶级人物,最重要的是在该领域的前沿团队中进行研究。在这样的环境下,我希望他们夜以继日地思考,在极端的情况下说话。全身心地投入到研究中,直到你在梦中看到自己的研究主题,才会起到带头作用。”
中山博士在学生时代敏锐地意识到有那么多难治性疾病后,就开始从事医学研究。“作为一名临床医生,治疗可以治愈的疾病当然很重要,但另一方面,也有不治之症。想要为这些做点什么是我开始做研究人员的原因。”
研究经费正在减少,这使得年轻的研究人员更难以继续研究,但中山博士解释了不走捷径而追求研究主题的重要性。
“每个人总有一天会有向前迈出一大步的机会。我希望他们在那个时候做好充分的准备。例如,他们需要有良好的语言技能,以便在国外学习,因为与海外研究人员的交流在未来将是重要的。他们每天都在做准备工作,这将使他们作为研究人员取得巨大进步。”
(截至2009年3月)
<常识>免疫细胞(免疫细胞)
所有的免疫细胞都起源于骨髓,由干细胞产生,变成巨噬细胞、T细胞、B细胞、自然杀伤细胞(NK)和其他白细胞。B细胞进一步成为抗体形成细胞,产生对抗抗原的抗体。
T细胞分化为辅助性T细胞和杀手T细胞。前者指示B细胞产生抗体,并指示杀伤T细胞攻击抗原。
在健康人的血液中,淋巴细胞约占白细胞的三分之一。淋巴细胞多为T细胞、B细胞和NK细胞,但NKT细胞也有非常小的比例,在0.1%以下。据说这对免疫系统有重要作用。

