选择一个类别
缝合,切片和Z堆叠作用作为在杜塞尔多夫大学医院获取BZ荧光显微镜的决定性论据
荧光成像:成功的故障和提示的原因
在柏林查理医院神经病理学研究所的日常患者诊断和临床研究的完美解决方案
外泌体的定位成像
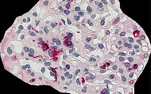
CD68(巨噬细胞)肾小球占用率的自动分析
使用荧光显微镜的钙成像
使用FUCCI的口腔衍生上皮细胞系(CA 9-22)的细胞周期观察
骨骼肌再生
通过圣诞树染色的精子检查
活细胞成像:成功提示
使用图像细胞仪(ICM)定量悬垂浓度
观察球形和有机体
可视化吞噬活性(微胶质细胞吞噬细胞珠子)
观察多染型I肺泡癌细胞
紫外线辐射引起的皮肤损伤的定量分析
胚胎干细胞分化为神经系统细胞
可视化朗格汉斯岛的α和β细胞
纤维化的量化
更有效的殖民地计数和区域测量
轴突观察
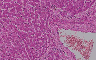
肝组织观察
脂肪细胞的定量分析
骨架井板扫描
观察毛细胞
观察Golgi染色的大鼠脑神经组织
肌纤维的定量分析
小肝细胞井板扫描
观察斑马鱼脊髓
小鼠牙周膜的高分辨率成像
消除植物中的自发荧光模糊
测量Macaca Fascicularis的心肌纤维化(螃蟹吃猕猴)
计数核中的染色体
免疫染色胃癌肿瘤切片的定量
栽培细胞转染效率的测量
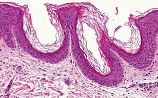
角质形成细胞生长潜力
胶带剥离的Stratum Corneum评估
细胞迁移测定
微核试验
复合材料中光纤分散的可视化
高分辨率图像捕获的乳液
面包(含麸质 - 油混合条件)
微生物检测中的观察和定量分析
头发横截面皮质观察和角质层层层评价
在包括直肠癌细胞的3D结构的非侵入性观察
IPS细胞衍生神经细胞的活性
使用直接重编程诱导心肌细胞(ICM细胞)
延时成像和细胞分裂观察
癌细胞生长
神经祖细胞的轴突伸长(PC12)
心肌小鼠IPS细胞的分化诱导
肌肉再生
小鼠脑皮质神经元脊柱
人体IPS细胞衍生的神经细胞
复合材料结构
分析涂层剂的均匀性
识别电影中的缺陷
可视化活性污泥的有效性
量化乳酸菌
区分纤维材料的结合剂
BZ系列为神经干细胞和脊柱观察提供基本成像
改善基因治疗药物发展的研究
用于开发心肌再生治疗的细胞片
自动荧光显微镜变换诱导癌症干细胞研究方法
BZ系列有助于了解哮喘的病理模型
促进紧凑,用户友好的显微镜研究效率
学术出版物
最新荧光显微镜目录
查看Keyence最新一体化荧光显微镜BZ-X800的目录。
联系/价格咨询
随时与我们联系进行价格咨询或用实际设备要求演示。
1-888-539-3623