利用图像细胞仪(ICM)定量菌丝浓度
什么是影像细胞仪?
细胞术有两大类:流式细胞术(FCM)和图像细胞术(ICM)。使用这些测量方法的仪器分别称为流式细胞仪和图像流式细胞仪。
图像细胞仪是一种能够通过捕捉和分析图像快速量化大量细胞或微粒的系统。与流式细胞术不同,细胞可以保存在通常包含它们的任何介质中(载玻片、培养皿、培养皿等)——不需要将它们移除。每个单元在孔板或玻片上的位置和测量信息都被记录下来,允许用户量化和直观地比较结果。
流式细胞仪的局限性
流式细胞仪由于其快速计数大量细胞的能力而被许多实验室使用。然而,这些系统也不是没有问题,包括:1)无法直观地确认测量结果,2)细胞必须从其自然状态移除以进行分析。此外,流式细胞仪在评估较大的细胞或具有粘附特性的细胞时可能会堵塞。
图像细胞计的优点
近年来,随着成像技术的进步,图像细胞仪越来越受到人们的关注。与流式细胞仪不同,图像细胞仪能够捕获样品的实际图像,量化和分析细胞现象,而不需要从容器中移除培养的细胞。这些系统能够与成像结合进行量化,例如连接和分析细胞的形状以及多个蛋白质的定位和表现信息,这在传统上是非常困难的。
图像细胞仪自动测量
当试图量化孔板或载玻片上的细胞时,传统的细胞计数仪不能产生准确的测量,易受用户变化的影响,或者不能捕获整个样本的图像。
BZ-X800配备了最新的图像细胞仪功能,允许系统执行高精度量化和成像,类似于共聚焦显微镜,用于改进分析。
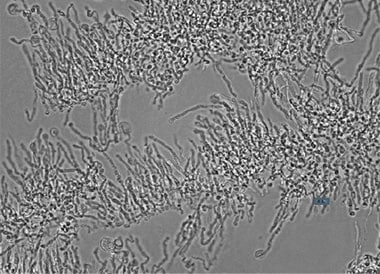
低亮度的孔中菌丝密度高。
- 使用全功能荧光显微镜BZ-X800
-
- BZ-X800能够精确量化菌丝的生长和浓度分析。
- 整口井可以在高倍放大条件下进行拍摄,使用户能够快速查看蜂窝分布和特征。
- 全电动操作和集成的暗室,任何人都可以轻松地操作仪器,产生先进的分析,没有用户依赖的变化。

