CD68(巨噬细胞)肾小球占用率的自动分析
巨噬细胞(CD68)对肾组织的影响
CD68(巨噬细胞)渗透到肾小球是所有进展性肾脏疾病的普遍现象。
肾小球——一个由毛细血管组成的显微镜下的小球,具有细小的开放的孔隙——支配着肾脏的过滤功能。在一个肾脏中大约有一百万个肾小球。巨噬细胞渗透到肾小球,导致肾组织纤维化。*
*什么是纤维化?
纤维化是结缔组织以不正常的速度增殖并取代正常组织的过程。具体来说,在系统性硬化症中,胶原纤维的细胞外基质和皮肤或内部器官内类似物质的增加,导致其硬化。心脏纤维化是一种细胞外胶原积累过量导致心肌硬化的现象。这会导致心脏功能下降。
相关页面:量化的纤维化
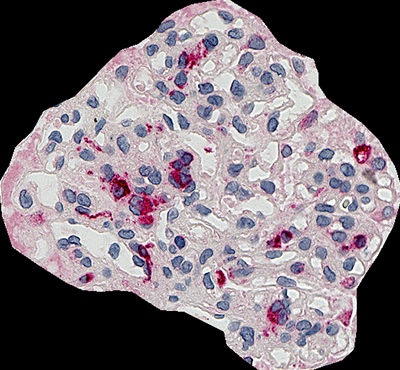
CD68(巨噬细胞)肾小球占用率分析例
下面是CD68(巨噬细胞)肾小球占用率分析的一个例子。HE染色后,捕捉肾脏活检的鸟瞰图。通常情况下,当样本较厚时,很难对图像进行聚焦,但Z-stack图像捕捉使显微镜能够聚焦整个图像。
肾小球占用率:4.3%
使用全功能荧光显微镜BZ-X800
- 完全聚焦图像,即使有厚样本。
- 高速图像拼接使捕捉鸟瞰图具有高分辨率。
- 阈值可自动设置为固定数量,方便用户进行客观分析。

