紫外线辐射致皮肤损伤的定量分析
紫外线辐射对人体有益,包括杀菌、促进新陈代谢和调节生物节律,以及产生有助于骨骼健康的维生素D。然而,近年来,由于臭氧消耗引起的太阳紫外线辐射增加被指出是造成皮肤癌和晒伤引起的衰老等健康危害的一个原因。
这一页解释了紫外线辐射是什么,它对皮肤的影响,以及它对皮肤影响的机制。对紫外线辐射引起的皮肤损伤的观察和量化也作了解释。
紫外线辐射是什么?
来自太阳的紫外线辐射到达地球表面(电磁波)的波长在100纳米到400纳米之间。约翰·威廉·里特在1801年发现了紫外线辐射。它的波长比可见光短,在400纳米到780纳米之间,其中紫光的波长最短(400纳米),这就是紫外线这个名字的来源。
关于波长:在本节中,波长将使用基于光电医学和光生物学的值来解释。
不同波段的紫外线
根据对生物的影响,紫外线可分为长波紫外线、中波紫外线和中波紫外线。
UVA(最长波长紫外线):波长为320纳米至400纳米的紫外线。
中波紫外线(UVB):波长为290纳米至320纳米的紫外线。
UVC(最短波长紫外线):波长为100纳米至290纳米的紫外线。
在到达地球表面的太阳光中,紫外线占5%到6%,其中约90%是长波紫外线,其余大部分是中波紫外线。UVC大部分被臭氧层吸收,不会到达地球表面。因此,从表皮损伤的角度来看,只考虑UVA和UVB。
- 一个
- 紫外线
- b
- 可见
- c
- 红外
紫外波长和光子能量
紫外线既是电磁波又是光。光是由称为光子的基本粒子构成的,这些粒子所携带的能量被称为光子能量。光子能量与光子的电磁频率成正比,与光子的波长成反比。光子能量E可以用下式表示,其中h为普朗克常数(6.626×10-34年Js), c是光速,λ是光子的波长:
E = h × c / λ
从这个方程中,你可以看到,随着波长λ的变长,光子能量E减小。相反,波长λ越短,光子能量E越高。破坏物质分子键的力随着光子能量的增加而增大。光子的波长越长,光到达地球表面的速度就越快。
由于UVB的波长较短,所以大部分无法到达地球表面,因此不会穿透皮肤到达真皮层,反而会损害表皮。由于其光子能量高,可在短时间内造成严重的伤害。
另一方面,UVA波长较长,大部分可以到达地球表面,这也使得它可以穿透皮肤,深入到真皮层。由于其光子能量低,UVA在短时间内不太可能对皮肤造成损伤,但如果皮肤长期暴露在紫外线下,就会损伤真皮层。
皮肤对紫外线辐射的保护功能
皮肤用它的细胞周转来保护真皮层和皮下组织免受紫外线辐射。
皮肤由表皮和真皮层组成。表皮是最外层。表皮由角质层(角质层)、颗粒层、棘层和基底层,从皮肤表面往下依次排列。
当紫外线通过角质层时,位于基底层的黑色素细胞会产生黑色素色素,以保护真皮免受UVA和UVB的伤害。黑色素是棕色或黑色的色素。产生的黑色素被分泌到表皮的角质形成细胞,并被推到角质层。
黑色素和角蛋白一旦被推上角质层,就会阻挡长波紫外线和中波紫外线。皮肤的这一过程保护基底层和真皮层免受紫外线辐射。
- 一个
- 紫外线
- B
- 表皮
- C
- 真皮
- D
- 角质层
- E
- 颗粒层
- F
- 尖尖的层
- G
- 基底层
- H
- 黑素细胞
紫外线辐射造成的皮肤损伤
如前所述,皮肤具有保护表皮基底层和真皮层免受紫外线辐射的功能。然而,就紫外线照射的量或长期照射而言,当紫外线照射超过皮肤的保护功能时,皮肤仍会受到伤害。本节解释由紫外线辐射引起的皮肤问题的典型症状及其发生的过程。
由UVB引起的皮肤问题
由于中波紫外线波长较短,因此会被臭氧层吸收,所以到达地球表面的中波紫外线数量有限,这意味着它穿透皮肤的深度较浅。然而,高光子能量意味着它可以导致晒黑和晒伤,即使是在很短的时间内。
晒伤是由于紫外线辐射引起的皮肤发红。它通常是由中波紫外线引起的,也被称为红斑反应。皮肤突然暴露在强紫外线辐射下数小时后就会发生晒伤。红肿部位的血管扩张导致炎症。症状在8到12小时内达到高峰。这种情况会持续几天,直到皮肤恢复正常状态。
血管的扩张促进吸收UVB的角化细胞产生细胞因子,从而导致炎症反应。在这个过程中,DNA双螺旋中相邻的嘧啶碱基连接在一起形成嘧啶二聚体,这是对细胞的损伤。皮肤细胞可以通过一种叫做核苷酸切除修复的功能来修复这些病变。然而,当损伤的数量超过这一功能或修复不成功时,就会发生晒伤。此外,这种受损细胞的增殖会导致恶性皮肤癌,如黑色素瘤、鳞状细胞癌和基底细胞癌。晒黑是由紫外线辐射引起的皮肤变黑,也被称为色素变黑或晒黑。鞣革有两个阶段:色素立即变黑和延迟鞣革。
- 即刻色素变黑
- 当皮肤暴露于紫外线辐射后,皮肤中的还原形式的黑色素立即光氧化,就会立即发生色素变黑。色素沉着通常在几个小时后消失。
- 延迟晒黑
- 当皮肤暴露在紫外线辐射下大约两天后,新的黑色素在很长一段时间内生成时,就会发生延迟晒黑。延迟晒黑持续几个月以上。
UVA引起的皮肤问题
与中波紫外线相比,到达地球表面的长波紫外线更多。UVA波长较长,可以穿过表皮角质层的黑色素和角蛋白,进入真皮层。
当UVA到达真皮层时,它会影响弹性纤维、胶原纤维和黏骨膜,导致皮肤的柔韧性和紧致性恶化,导致皱纹、下垂和其他老化效应(光老化)和皮肤问题。它还可以氧化现有的黑色素,使皮肤变黑。
紫外线辐射致皮肤损伤的定量分析
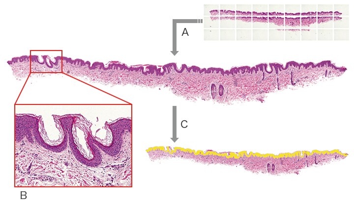
紫外线辐射引起的皮肤损伤可以通过显微镜观察染色表皮的厚度来评估。测量皮肤的任何部分的厚度都可能根据测量位置的不同而产生测量值的变化,这妨碍了可靠的评估。此外,如果一个样本不能完全贴合在视场内,就必须将其拆分,因此需要多次观察。观测数量的增加需要更多的对焦调整和照明设置。
KEYENCE的BZ-X800一体机荧光显微镜可以观察整个图像。单击示例图像的最外面的四个点来注册坐标,以便快速和连续成像。这可以将图像拼接到5万× 5万像素的分辨率。BZ-X800的精密阴影校正功能消除了由镜头像差引起的不均匀光强,这有助于消除缝合图像的接缝。这允许用户观察他们的样本与自然,无缝缝合的图像。对于局部观察,用户只需单击缝合图像上的任何地方,即可立即移动到这些坐标,并以高分辨率观察该区域。
混合细胞计数(Hybrid Cell Count)可以根据颜色、亮度、轮廓等信息精确提取目标区域,从而实现对区域的测量。使用拼接图像不仅保证了准确性,而且提供了视觉上易于理解的高质量数据。
当样本数量较多时,Macro Cell Count特性非常有用,因为通过应用第一张图像的测量条件,可以自动批量执行测量。这减少了测量时间,也消除了测量条件的变化,从而增加了数据的可靠性。
- 一个
- 拼接图像捕获
- B
- 局部高分辨率观测
- C
- 损伤部位的提取与定量(面积:72865 μm2)
- 使用一体化荧光显微镜BZ-X800
-
- 图像拼接允许在大范围内快速获取图像数据。这允许观察与自然,无缝,高分辨率的缝合图像。
- BZ-X800可以提取整个表皮层进行面积测量,从而获得定量数据快速和无变化。
- 即使在需要检测的样品较多的情况下,BZ-X800也能在相同条件下对所有样品进行分析,在消除任意性的同时,实现了准确的比较评估。

