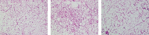
脂肪细胞定量分析
自动批量测量
脂肪细胞由称为脂肪组织的脂肪滴组成,可分为两种类型:白色脂肪组织(WAT)和棕色脂肪组织(BAT)。每个白色脂肪组织的细胞都含有一个储存脂肪的大脂肪滴。棕色脂肪组织细胞含有大量的小液滴。这些细胞燃烧脂肪产生热量。
如果白色脂肪组织因肥胖而增大,脂肪细胞就会发生功能障碍,从而导致某些疾病的发生。
- 数量
- 1485个细胞
- 平均面积
- 169µm2
- 标准面积偏差
- 403µm2
物镜:CFI计划Apo λ 20x
- 数量
- 1955个细胞
- 平均面积
- 122µm2
- 标准面积偏差
- 352µm2
- 数量
- 3162个细胞
- 平均面积
- 68µm2
- 标准面积偏差
- 186µm2
- 数量
- 1190个细胞
- 平均面积
- 222µm2
- 标准面积偏差
- 416µm2
使用全功能荧光显微镜BZ-X800
- 当目标的一个切片太大而不能落在一个视场内时,就可以在移动舞台的同时捕获图像,并通过拼接这些图像来创建高分辨率图像。
- 即使是倾斜的标本或有高度差异的标本,也可以创建一个整个标本在焦点上的图像。这是通过在Z方向上捕捉多个图像并将焦点部分拼接在一起来完成的。
- 每个紧密间隔的脂肪细胞可以提取和计数使用混合细胞计数测量软件。
- 在混合细胞计数提取条件的基础上,宏细胞计数可以用于处理一批多幅图像。

