肝组织观察
捕获高分辨率图像
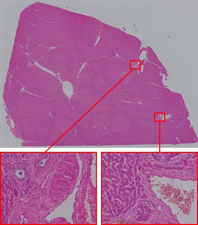
肝脏有很多功能。因为它在新陈代谢中发挥着重要作用,因此在脂肪肝,肝硬化和肝癌等条件下,医学研究正在进行医学研究。
由于肝脏的切片通常很大,传统的显微镜通常必须在多个位置观察小区域。
可以在高分辨率上进行检查和显示图像。
-
图像拼接
-
物镜:CFI计划apoλ20x
图像拼接:19张图片×19张图片
使用一体化荧光显微镜BZ-X800
- 当目标的切片太大而无法落在单个视场内时,在移动阶段的同时捕获图像,并且可以通过拼接这些图像来创建高分辨率图像。
- 即使对于具有高度差异的倾斜样本或标本,也可以创建一个整个样本的焦点。这是通过在Z方向上捕获多个图像并仅拼接焦点的部件来实现。
- 可以从整个肝脏中提取一个感兴趣的区域,并且可以用杂交细胞计数自动测量并分析该部分。
- 在用杂交细胞计数提取的条件的基础上,可以使用宏小区计数来处理一批多个图像。

